Friday, September 27, 2013

Now we know the brain is "neuroplastic"... in the 19th century

Until recently, scientists believed our brains were fixed, their circuits formed and finalised in childhood, or "hardwired". Now we know the brain is "neuroplastic", and not only can it change, but that it works by changing its structure in response to repeated mental experience.

-Norman Doidge, M.D. (2013). Brain scans of porn addicts: what's wrong with this picture?


Wow! I never knew that! You mean the brain can actually learn? And it changes with experience? Really?? Thank you, Norman Doidge, for that brilliant insight, and for many other gems in your wonderful Comment is Free piece on porn addiction in the Guardian.

Let's see what physicians and psychologists of yesteryear have to say about these newly discovered "neuroplastic" brains.


Here it may be asked whether the organs [of the brain] increase by exercise? This may certainly happen in the brain as well as in the muscles; nay, it seems more than probable, because the blood is carried in greater abundance to the parts which are excited, and nutrition is performed by the blood. In order however, to be able to answer this question positively, we ought to observe the same persons when exercised and when not exercised; or at least observe many persons who are, and many others who are not, exercised during all periods of life.

-J.G. Spurzheim (1815). The physiognomical system of Drs. Gall and Spurzheim; founded on an anatomical and physiological examination of the nervous system in general, and of the brain in particular; and indicating the dispositions and manifestations of the mind.


The question is not whether neural events change the status of the tissue in which they occur. The only question which may still be debated is: whether such changes as do undoubtedly occur have the permanence and those other properties which we must attribute to memory-traces. According to our present knowledge the primary effect which nerve impulses produce in ganglionic layers is chemical activity. . .

-Wolfgang Köhler (1938), The Place Of Value In A World Of Facts.

These quotes were taken from a 1964 review paper by Edward L. Bennett, Marian C. Diamond, David Krech, and Mark R. Rosenzweig. The title? Chemical and Anatomical Plasticity of Brain.

Changes in brain through experience, demanded by learning theories, are found in experiments with rats.



Fig. 1 (Bennett et al., 1964). Animals in Environmental Complexity and Training Cage.


The authors compared the brains of rats exposed to complex, enriched environments to those housed in isolated cages. They found increases in cortical thickness, increases in cortical tissue weight (not related to overall brain or body size), and in increases acetylcholinesterase activity in rats who had lived in the fun and social cages. The project was launched 60 years ago, in 1953... so it's a bit disingenuous for Dr. to call neuroplasticity a "recent" discovery.

Furthermore, Doidge's Freudian interpretation of porn would be rather quaint, if it weren't so disturbing:
Porn sites are also filled with the complexes Freud described: "Milf" ("mothers I'd like to fuck") sites show us the Oedipus complex is alive; spanking sites sexualise a childhood trauma; and many other oral and anal fixations. All these features indicate that porn's dirty little secret is that what distinguishes "adult sites" is how "infantile," they are, in terms how much power they derive from our infantile complexes and forms of sexuality and aggression. Porn doesn't "cause" these complexes, but it can strengthen them, by wiring them into the reward system.

And of course, reward = dopamine. And we all know that "dopamine is the ultimate feminist chemical in the female brain."  Oh wait...

Guess Doidge hasn't watched any feminist porn.


Further Reading

Feminist Dopamine, Conscious Vaginas, and the Goddess Array

Is There Any Evidence for the "Porn-Addicted Brain"?

Neuroplasticity is a dirty word

Neuroplasticity is not a new discovery


Reference

BENNETT EL, DIAMOND MC, KRECH D, & ROSENZWEIG MR (1964). CHEMICAL AND ANATOMICAL PLASTICITY of BRAIN. Science, 146 (3644), 610-9 PMID: 14191699




Sunday, September 22, 2013

Neurological Art History


“Wound man” woodcut by Johannes de Ketham, originally appearing in Fasciculus medicinae (1491). This image is from Fasiculo de medicina (1494), a translation into Italian by Sebastiano Manilio.

We rationalize, we dissimilate, we pretend: we pretend that modern medicine is a rational science, all facts, no nonsense, and just what it seems. But we have only to tap its glossy veneer for it to split wide open, and reveal to us its roots and foundations, its old dark heart of metaphysics, mysticism, magic and myth. Medicine is the oldest of the arts, and the oldest of the sciences: would one not expect it to spring from the deepest knowledge and feelings we have?

-Oliver Sacks, Awakenings

Is medicine an art or a science? Now you don't have to decide! Volume 203 of Progress in Brain Research examines the historical relationship between art and neurology.

The Fine Arts, Neurology, and Neuroscience: Neuro-Historical Dimensions begins with the Renaissance anatomists, including the prolific Andreas Vesalius, author of the seven-volume De humani corporis fabrica (On the fabric of the human body). Illustrated anatomy textbooks were a still novelty at this time, and Vesalius was controversial for overturning some of Galen's tenets from the 2nd century AD, including the theory of animal spirits. The realistic woodcut illustrations in De humani were based on careful dissection of human cadavers (Russell, 2013).


Andreas Vesalius (1543). De Humani Corporis Fabrica, Plate 49. Brain with seven cranial nerves. Woodcut.


The talented artist is often assumed to be Jan Steven van Calcar from the studio of Titian, but the actual identity of this person(s) is unclear (Russell, 2013):
But who were the artists? Who created such compelling images? Vesalius neither identifies nor acknowledges his exceptional artist(s) or his woodblock cutters. The absence of their identity has remained a subject of debate. 

Proto-Bloggers or Plagiarists?

Vesalius tried valiantly to preserve his intellectual property from unlawful reproduction, to no avail. This is a bit ironic, since he never gave credit to the artists, and even seemed a bit annoyed with them (Lanska & Lanska, 2013):

In 1546, 3 years after publication of the first edition of the Fabrica, Vesalii expressed frustration at the plurality of artists he had supervised: “[No longer] shall I have to put up with the bad temper of artists and sculptors [wood-block cutters] who made me more miserable than did the bodies I was dissecting” (translation in O’Malley, 1964, p. 124).

Regardless of Vesalii’s frustrations with the artists, the beauty, accuracy, and utility of these woodcuts led to frequent plagiarism, despite Vesalii’s attempts to protect his work with the various privileges that were listed at the foot of the title page.

Piracy and plagiarism of images vs. "fair use" for educational [or entertainment] purposes isn't a new problem that began with commercialization of the internet in 1995, nor with the rise in the popularity of Tumblr about four or five years ago.1

Lanska and Lanska (2013) raised the issue of how the printing press made image theft easier in their chapter on Medieval and Renaissance anatomists: The printing and unauthorized copying of illustrations, and the dissemination of ideas:
With the advent of the printing press and moveable type at this time, printed books began to supersede hand-copied medieval manuscripts, and labor-intensive techniques were soon developed to integrate text and illustrations on the printed page. The same technology was used to pirate the illustrations of prior authors with varying fidelity.  ...  The most important milestone in the development of anatomy and anatomical illustration was the publication in 1543 by Andreas Vesalii of De humani corporis fabrica. With this work, Vesalii succeeded in coordinating a publication production team (author, artists, block cutters, publisher, and typesetters) to achieve an unprecedented integration of scientific discourse, medical illustration, and typography. However, despite Vesalii’s valiant efforts to prevent unauthorized duplication, the illustrations from the Fabrica were extensively plagiarized. Although Vesalii found such piracy frustrating and annoying, the long-term effect was to make Vesalii’s ideas known to a wider readership and to help solidify his own revolutionary contributions to anatomy.

Vesalius was angry because of the amount of work he put into the dissections, but the benefit was greater exposure of his ideas and an increase in stature.  Kind of like high profile (non-critical) science blogging?? 2  Except unauthorized reproduction was more laborious in the 16th century... e.g. copying woodcuts prints in a close but approximate form by freehand engraving onto copper plates (Lanska & Lanska, 2013b).  But at least one imitator did give him credit and even corrected his mistakes:
Vesalius bitterly complained about Valverde's unauthorized abridgement of his work: “Valverde who never put his hand to a dissection and is ignorant of medicine as well as of the primary disciplines, undertook to expound our art in the Spanish language only for the sake of shameful profit.” (O'Malley translation).  Nevertheless, Valverde did make several corrections to the images (e.g., anatomy of the extraocular muscles), described the intracranial course of the carotid arteries, and made the first drawing of the stapes. In addition, Valverde acknowledged using illustrations from Vesalius because, “his illustrations are so well done it would look like envy or malignity not to take advantage of them.”


modified from Figure 2 (Lanska & Lanska, 2013b). The left set of 7 black-and-white images are from Vesalius' Fabrica ... Individual woodcuts have been arranged in a montage, corresponding to that from a single copperplate engraving in Valverde's abridgement shown on the right. The entire Vesalius montage is an approximate mirror image of the single-page, multi-image print in Valverde's abridgement. Dissection stages, brain levels, and structures illustrated all correspond closely. Note the absent mustache in the third stage of the dissection in prints from both Vesalius and Valverde. Shading is absent in the Valverde copperplate images, and there are minor differences in both perspective and fine details (e.g., the pattern of the gray-white junction, branching pattern of the middle meningeal artery, and features of the corresponding mustaches).


The chapters in this volume make for fascinating reading and cover not only these early artistic contributions to the neurosciences, but also include neuroscientists with artistic talent (e.g., Santiago Ramón y Cajal) and artists with neurological disorders (e.g., Giorgio de Chirico, who may have had complex partial seizures or migraine with visual auras).


Footnotes

1 No one ever knows the actual origin of images on tumblr, do they? Just try to find out who created this Black Cat Club image...

2 Obviously, the images in this post are hundreds of years old (and in the public domain). In the last few years, I've become more sensitive to the issue of copyright infringement and try not to do this. I assume that judicious reproduction (and appropriate attribution) of figures from journal articles falls under "fair use." I haven't made one cent from this blog so I'm certainly not profiting from others' work.


References

Lanska DJ & Lanska JR (2013). Medieval and Renaissance anatomists: The printing and unauthorized copying of illustrations, and the dissemination of ideas. Progress in brain research, 203, 33-74. PMID: 24041276

Lanska DJ, Lanska JR (2013b). Juan Valverde de Hamusco's unauthorized reproduction of a brain dissection by Andreas Vesalius. Neurology 80:852-6.

Russell GA (2013). Vesalius and the emergence of veridical representation in Renaissance anatomy. Progress in brain research, 203, 3-32. PMID: 24041275


Another "wound man"

Sunday, September 15, 2013

Everything's Unscented


If you were forced to sacrifice one of your five senses, which would it be? Most people wouldn't consider losing their vision or hearing. It would be really dangerous to completely lose your sense of touch, so that won't be an option in our hypothetical scenario. So we're left with the chemical senses of smell and taste. I think most of us would choose one of these two.

But what about someone who can't smell?  How can they miss something they've never known?
“If I had to lose one of my senses, it would probably be smell... even though it's gone. I mean, if I had to choose between them, because it's the least hindering...”

-Deven James Langston in his short video, Anosmia (embedded below).

A World Without Smell

Congenital anosmia is a rare condition where individuals are born without the ability to smell. This condition might not seem so bad to the osmic population (especially when cleaning up after your pet), but lack of smell can affect safety (e.g., can't detect a gas leak or burning toast), body weight, hygiene, and mate selection (Karstensen & Tommerup, 2011). But if you've never had the experience of odors, whether they're from cinnamon buns or rotting fish, this is a completely normal state of affairs (Tafalla, 2013).

Isolated congenital anosmia unrelated to another condition (such as Kallmann syndrome) has been linked to genetic locus 18p11.23-q12.2 in two different families (Ghadami et al., 2004). However, no disease-causing mutations were found by sequencing eight candidate genes in this region. Studies in other families have suggested that the genetic basis of this trait is heterogeneous. Therefore, the specific genetic causes of isolated congenital anosmia remain elusive (Karstensen & Tommerup, 2011).


Smells Like Words

Rebecca Steinitz has congenital anosmia. She reached adulthood without knowing that other people actually do possess a sense of smell, as opposed to just pretending that they do. In an essay she describes what it's like to live in a world without smell.
I don’t know what a rose smells like, though when I hold my nose to a full-blown bloom and inhale deeply, I sense a vague sweetness.

I don’t know what my husband’s shirt smells like. If he died, I wouldn’t think to sleep in it so I could feel that he was with me.

I don’t know what a baby’s head smells like – not my babies, not anyone else’s babies. I couldn’t pick my babies out of a crowd with my eyes closed, and I don’t miss that baby smell when I hug my growing children.

I don’t know the smell of feet, chalk, lilacs, gardenias, sour milk, rain, new cars, Chanel No. 5, Old Spice, greasepaint, or napalm.

I don’t know what old books smell like. I don’t know what new books smell like either.



Ex Libris Anima Perfume Oil - 5 ml.
“The bottled essence of an old, rare book - antique paper, old leather 
bindings, parchement, dust, and the faint scent of a wooden lecturn.”

I learned smells from books, which made me think they were fictional. When real people said That stinks, or I can smell the sea from here, I thought they were faking, that they were willing to pretend those smells existed beyond the page. I only discovered the word for people like me a few years ago. We are anosmic; we have anosmia: lack of the sense of smell.

-Rebecca Steinitz, Smells Like Words

Smells Like Teen Spirit

Steinitz noted that she can't smell her husband's shirt or her baby's head. These types of scents bind us to people and cement our relationships. Odors have a way of linking us to times and places of the past, evoking remembrances in a sterotypically literary way, eliciting endless soliloquies of youthful memories.


 -graffiti by Kathleen Hanna (before the song was written) 1


Do smells have a uniquely intimate connection to memory? Olfactory information reaches the piriform cortex after only two synapses. A chemical odorant activates receptors on sensory neurons in the nasal epithelium, which synapse onto mitral cells in the olfactory bulb. These mitral cells synapse onto neurons in the piriform (olfactory) cortex located in the temporal lobe, near the hippocampus and amygdala.



What is it like to be a smeller?

Anosmic philosopher Marta Tafalla, in a nod to the famous paper by Thomas Nagel, compares the foreignness of olfactory qualia to the exotic system of echolocation in bats (Tafalla, 2013).
Neither do I have the sensation that I lack a sense, a window onto reality, that something in my body or my brain does not function properly. And because of all that, it would have been impossible for me to come up with the improbable idea that everyone else can perceive another dimension of reality, which consists of volatile chemical particles that are perceived in the mere act of breathing. It sounds as strange to me as the echolocation system of bats or some birds' capacity to align their flight with the earth's magnetic field.

In this meditative and philosophical piece, Tafalla tells the story of when she first realized she was different from other people. At the age of eight, she spent some time at a summer boarding school. One of the teachers tactfully remarked on her smelly feet. Tafalla didn't understand, and didn't connect body odor to a lack of hygienic rituals. In response, she put cologne on her feet and in her shoes. Her teacher and her mother both found this odd, so she started wondering if something was wrong. A year or two later, she was able to articulate the problem: “I can't smell!”

She then contemplates how this knowledge changes her experience of the world: her perception of food, her relationships with other people, her sense of her own body, perception of natural and urban environments, time perception (olfaction and its relation to memory), and "aesthetic appreciation of scents and stenches":
I was cleaning the fallen leafs in my patio, and I found a dead blackbird. It had probably been there for days. It must have stunk. But I had been sitting there, enjoying the first days of spring, and I had not noticed anything.

In conclusion, I believe that to be anosmic means that the world seems not so beautiful and also not so ugly. I believe that, aesthetically speaking, the world seems less.

A Sense of Loss

Individuals with congenital anosmia are in the minority of those who have olfactory dysfunctions, comprising only 3% of that population (Keller & Malaspina, 2013). The most common causes of smell problems are sinus and nasal disease, upper respiratory infection, and head trauma (see below). Traumatic brain injury can damage the olfactory bulbs if the brain bounces against the orbits and other bony protuberances inside the skull.



Becoming anosmic in adulthood, after experiencing the smells of fragrance and filth, can lead to a pronounced sense of loss. These negative consequences are often trivialized and misunderstood by others.2 To assess the effects of altered smell on everyday life, Keller and Malaspina (2013) administered an online survey to 1,000 patients with olfactory dysfunction. Complete results from the 43 survey questions, along with edited excerpts from 1,000 reports (179 pages), are freely available with the open access article.

Here's an example from a woman with asthma and nose polyps:
I spent ridiculous amounts of time every day with my nose to my son's little head, just inhaling his smell. I don't know if anyone can comprehend what it's like missing that primal connection to your child. There is something profound and powerful about a mother smelling her baby that I cannot explain, but it is viscerally important. So I don't know when I ceased to smell, but it was gradual enough that I didn't notice. That said, the absence of smell is unspeakably painful. 

A person with severe allergies:
It's a huge loss. I fully understand the risk of depression from this condition. Besides the loss of smell, I've suffered a complete loss of flavor-tasting ability. That is an immense loss as well. Even more so is the loss of memories that smell used to so vividly unlock. I so miss the fragrance of a pine forest to take me back to my childhood camping in the mountains. I want to smell the turkey cooking on Thanksgiving. I want to smell the chocolate when I walk into a candy store! It's a weird affliction. People don't really get it. 

The major practical problems are difficulties avoiding hazardous substances and situations, food-related issues, and problems with managing odors (body odor, pet smells, rotten food, etc.). Negative psychological consequences include smell loss-induced anhedonia and social isolation, which can result in a lowered quality of life.

It's a truism to say this, but our sense of smell is something that most of us take for granted. I spend so much time inside my own head that it's a great idea to stop and smell the nectarines, the tomatoes, the coffee, and the cat.


Footnotes

1 Kurt Cobain didn't realize that Teen Spirit was an antiperspirant marketed to girls. Hanna meant that he smelled like his girlfriend's deodorant, but Cobain thought the graffiti made a profound statement on disaffected youth.

2 Tafalla (2013) has helpfully classified the most typical types of responses:
  1. Even doctors say “don't worry, it is not a serious problem.”
  2. Tasteless jokes and “how lucky you are!”
  3. Infrequent but thoughtful: “smell is something very difficult to explain”.
  4. They just don't get it.

References

Karstensen HG, & Tommerup N (2012). Isolated and syndromic forms of congenital anosmia. Clinical genetics, 81 (3), 210-5. PMID: 21895637

Keller A & Malaspina D (2013). Hidden consequences of olfactory dysfunction: a patient report series. BMC ear, nose, and throat disorders, 13 (1) PMID: 23875929

Tafalla M (2013). A world without the olfactory dimension. Anatomical record, 296 (9), 1287-96. PMID: 23907763



from Deven James Langston - A funny look at my odd disorder. Not being able to smell has it’s downsides, but as the video says, “It’s not all bad.”

Saturday, September 7, 2013

Update on Ketamine in Palliative Care Settings


Many recent headlines have heralded a new use for the old veterinary anesthetic ketamine, which can provide rapid-onset (albeit short-lived) relief for some patients with treatment-resistant depression (aan het Rot et al., 2012). This finding has been inflated into arguably the most important discovery in half a century by Duman and Aghajanian (2012). While finding a cure for refractory depression is undoubtedly an important research priority, might ketamine be useful for other conditions that cause profound human misery?

The care of terminally ill patients suffering from unbearable pain is not a sexy topic, and hospice and palliative medicine is not a glamorous subspecialty. You probably haven't seen the studies examining whether ketamine is effective as an add-on agent to opioid analgesics for cancer pain (Hardy et al., 2012), or as a treatment for depression and anxiety in patients receiving hospice care (Irwin et al., 2013).

Three years ago, my father died of cancer. He had been released from the palliative care unit to a hospice, suffering with uncontrolled cancer pain. It was unbearable to watch, and beyond excruciating for him. During this time, I was writing a post for the Nature Blog Focus on hallucinogenic drugs in medicine and mental health. It included a section on drugs that might alleviate pain and anxiety in cancer patients. I told him about this, and he said to get the word out.

As a tribute to my father, I wanted to present a brief overview of new developments in the field.


Efficacy and Toxicity of Ketamine in the Management of Cancer Pain

In 2008, BMJ published a set of clinical practice guidelines on pain control in adults with cancer. They called for further research to investigate the role of ketamine as an adjuvant analgesic a drug with a primary indication other than pain that might have analgesic properties in some conditions.

A recent Cochrane review evaluated the state of the literature on ketamine to alleviate cancer pain (Bell et al., 2012). Three new randomized controlled trials (RCTs) were identified since 2003, and all were excluded from further analysis. Among the older studies, the adverse effects of ketamine included hallucinations (as expected, since the drug is a dissociative anesthetic used at raves), drowsiness, nausea and vomiting, dry mouth, and confusion. The authors concluded that Current evidence is insufficient to assess the benefits and harms of ketamine as an adjuvant to opioids for the relief of cancer pain. More RCTs are needed.” They also noted that clinical trials were ongoing, and that data by Hardy and colleagues were awaiting assessment.

Unfortunately, the outcome of the trial conducted by Hardy et al. (2012) was not positive.  In this large RCT, 185 cancer patients with refractory chronic pain were randomized to receive either ketamine or placebo as an adjunct to their regular doses of opioids and other analgesics. Ketamine was administered subcutaneously in a dose-escalating regimen over 5 days. The response rate was 31% (29 of 93) in the treatment group compared to 27% (25 of 92) for placebo, which was not significantly different (p=.55). In addition, ketamine was associated with twice the number of adverse events relative to placebo. The authors concluded that ketamine did not have a net clinical benefit when used along with standard medications to treat cancer pain.

However, Jackson and colleagues (2013) objected to this “sweeping conclusion” in a letter to the Journal of Clinical Oncology titled “Ketamine and Cancer Pain: The Reports of My Death Have Been Greatly Exaggerated”. Their major arguments were that ketamine has been used in this fashion for the last decade, and previous open-label studies were more successful. They also suggested that Hardy et al. were too quick to call ketamine a treatment failure, and too late in administering drugs to counteract any hallucinogenic side effects.1 

Hardy et al. (2013) replied to the first set of objections by stating the obvious about the value of RCTs: Open-label studies do not meet the specific scientific definition of control.” They stood by their sweeping conclusions that ketamine was not beneficial in this population. On the other hand, I can see why clinicians would be desperate to help their patients. The 27% placebo response in Hardy's study is quite high. So if you're a patient in terrible pain and grape Kool-Aid improves your condition, why argue with that?


Ketamine for the Treatment of Depression and Anxiety in Hospice Patients

Speaking of open-label studies, a 2010 study in two hospice patients, each with a prognosis of only weeks or months to live, showed beneficial effects of ketamine in the treatment of anxiety and depression (Irwin & Iglewicz, 2010). A single oral dose produced rapid improvement of symptoms and improved end of life quality. To disentangle the pain relieving and antidepressant effects of ketamine, the authors emphasized the importance of conducting clinical trials for this particular indication.2

A more recent open-label study by Irwin et al. (2013) enrolled 14 hospice patients with depression or depression + anxiety to receive oral ketamine for 28 days. Only 8 patients completed the study, but all showed a 30% or greater improvement in their depression or anxiety scores. Four withdrew from the study at day 14 because of no response to the drug, one dropped out earlier due to unrelated rapid decline, and one withdrew at day 21 because of a change in mental status (apparently unrelated to ketamine). Few adverse events were noted, the most common being diarrhea, trouble sleeping, and trouble sitting still (which to me sound problematic in an extremely ill population). It seems that dissociative symptoms, hallucinations, etc. were not evaluated. The authors again call for further studies using RCT designs to evaluate whether ketamine can improve the quality of the end-of-life experience.

Although they were not entirely successful, these studies have aimed to achieve an important goal of any civil, caring society: to provide a manner of death that minimizes fear, pain, and suffering.


Further Reading

The entire Pallimed Blog

"Do you have something stronger than this dilaudid?" The case for opioid rotation

Limbaugh/Palin "death panels" extend the lives of terminally ill patients

Ketamine for Depression: Yay or Neigh?


Footnotes

1 Jackson et al. reported using low doses of haloperidol (an antipsychotic) or midazolam (a benzodiazapine) prophylactically to prevent these adverse side effects.

2 I first wrote about this in 2010.


References

aan het Rot M, Zarate CA Jr, Charney DS, Mathew SJ. (2012). Ketamine for depression:where do we go from here? Biol Psychiatry 72(7):537-47.

Bell RF, Eccleston C, Kalso EA. Ketamine as an adjuvant to opioids for cancer pain. Cochrane Database Syst Rev. 2012 Nov 14;11:CD003351.

Duman RS, Aghajanian GK. (2012). Synaptic dysfunction in depression: potential therapeutic targets. Science 338(6103):68-72.

Hardy J, Quinn S, Fazekas B, Plummer J, Eckermann S, Agar M, Spruyt O, Rowett D, & Currow DC (2012). Randomized, double-blind, placebo-controlled study to assess the efficacy and toxicity of subcutaneous ketamine in the management of cancer pain. Journal of clinical oncology, 30 (29), 3611-7. PMID: 22965960

Irwin SA, Iglewicz A, Nelesen RA, Lo JY, Carr CH, Romero SD, & Lloyd LS (2013). Daily Oral Ketamine for the Treatment of Depression and Anxiety in Patients Receiving Hospice Care: A 28-Day Open-Label Proof-of-Concept Trial. Journal of palliative medicine, 16 (8), 958-65. PMID: 23805864

Irwin SA, Iglewicz A. (2010). Oral ketamine for the rapid treatment of depression and anxiety in patients receiving hospice care. J Palliat Med. 13:903-8.



Fig. 2 Cormie et al. (2008). WHO analgesic “ladder”

Sunday, August 25, 2013

The Art of Resurrection

Resurrection, Raffaellino del Garbo (1510)


In the world outside of Christianity, horror, and science fiction, the dead cannot be brought back to life. Or can they? A feature in the The Observer from earlier this year profiled Dr. Sam Parnia, critical care physician and author of Erasing Death: The Science That Is Rewriting the Boundaries Between Life and Death (called The Lazarus Effect in the UK). The article begins in a dramatic fashion:

Sam Parnia – the man who could bring you back from the dead

Sam Parnia MD has a highly sought after medical speciality: resurrection. His patients can be dead for several hours before they are restored to their former selves, with decades of life ahead of them.

That's a pretty outrageous claim! Clinically dead for several hours? No brain activity the entire time? Even if anyone could emerge alive and conscious from such a state (unless it's a state of suspended animation, perhaps), they'd have severe brain damage (as we'll see below). There'd be no way they could have encoded their near-death experiences (NDEs), much less remembered any light at the end of a tunnel or a soothing presence drawing them home.

There may be a semantic problem here: the definition of “death.”

I haven't read the book, but the issue is described in a one-star review at Amazon:
The core of this linguistic mess is his inconsistent use of the word "death". At times he uses this term properly, as defined by the Uniform Determination of Death Act (UDDA, 1981): "An individual who has sustained either (1) irreversible cessation of circulatory and respiratory functions, or (2) irreversible cessation of all functions of the entire brain, including the brain stem is dead." This definition was developed in cooperation with the American Medical Association ... [etc.] and has been adopted by most states. It is the standard definition of death. [NOTE: I thought brain death is THE standard definition of death.] 1

Unfortunately, he also refers to "death" as cardiac arrest (e.g. pages 1, 2, 23, 42, 43, 128, 131, 139, 140, and many more). This definition of death is inconsistent with the UDDA because cardiac arrest is reversible in some cases. In fact, much of this book includes accounts of individuals who have suffered cardiac arrest and been resuscitated...

Dr. Parnia was quoted in my previous post about the “End of Life Gamma Waves” study in rats. He was skeptical that EEG during the 30 second interval after the heart stopped beating was anything more than a massive influx of calcium into the dying neurons. It wasn't a state of heightened consciousness that can explain the NDEs reported by 10-20% of his cardiac arrest patients.

Instead, Parnia is a mind-body dualist, believing that the soul (or self) can persist separately from the body for several hours at a time:
"It seems that when consciousness shuts down in death, psyche, or soul – by which I don't mean ghosts, I mean your individual self – persists for a least those hours before you are resuscitated. From which we might justifiably begin to conclude that the brain is acting as an intermediary to manifest your idea of soul or self but it may not be the source or originator of it… I think that the evidence is beginning to suggest that we should keep open our minds to the possibility that memory, while obviously a scientific entity of some kind – I'm not saying it is magic or anything like that – is not neuronal."

Memory is not neuronal! And Death can be cured. Who knew. But how?? [NOTE: according to Parnia and The Observer, at least.]

Extracorporeal membrane oxygenation (ECMO) is a temporary method of life support that introduces and circulates oxygen into the bloodstream of patients with acute respiratory failure or cardiac failure. It involves placing one or more large catheters into the patient's vessels (cannulation) and relies on an external pump to circulate and oxygenate blood and remove carbon dioxide (PDF). Primarily used in critically ill infants, its application to adults is risky and controversial, and the benefits are unclear.

A meta-analysis of ECMO in adult patients found a mortality rate of 54% at 30 day follow-up, with almost half the fatalities occurring during ECMO (Zangrillo et al., 2013). On the other hand, the procedure is a last-ditch life saving effort in critically ill patients, so a 46% survival rate seems like an improvement over probable death. However, one review stated that "Credible evidence for mortality benefit of ECMO is lacking" in cases of acute respiratory distress (Hirshberg et al, 2013). Another study concluded that ECMO is even less successful in cases of acute heart failure, with the worst survival rate for those who experience cardiac arrest (Tsuneyoshi & Rao, 2012).

Complications can be severe (Zangrillo et al., 2013) and include renal failure (occurring in 52%), bacterial pneumonia (33%), bleeding (33%), oxygenator dysfunction requiring replacement (29%), sepsis (26%), and liver dysfunction (16%).

The rest of the post will focus on the possible neurological complications of ECMO (Mateen et al., 2011).


Neurological Injury Associated with Heroic Resuscitation

I do not want to detract in any way from the dedication of practioners who do heroic things every day to save people's lives, or from advances in medicine. What I would like to point out, however, is that sometimes one may resuscitate the heart but lose the brain (to paraphrase Horstman et al., 2010).


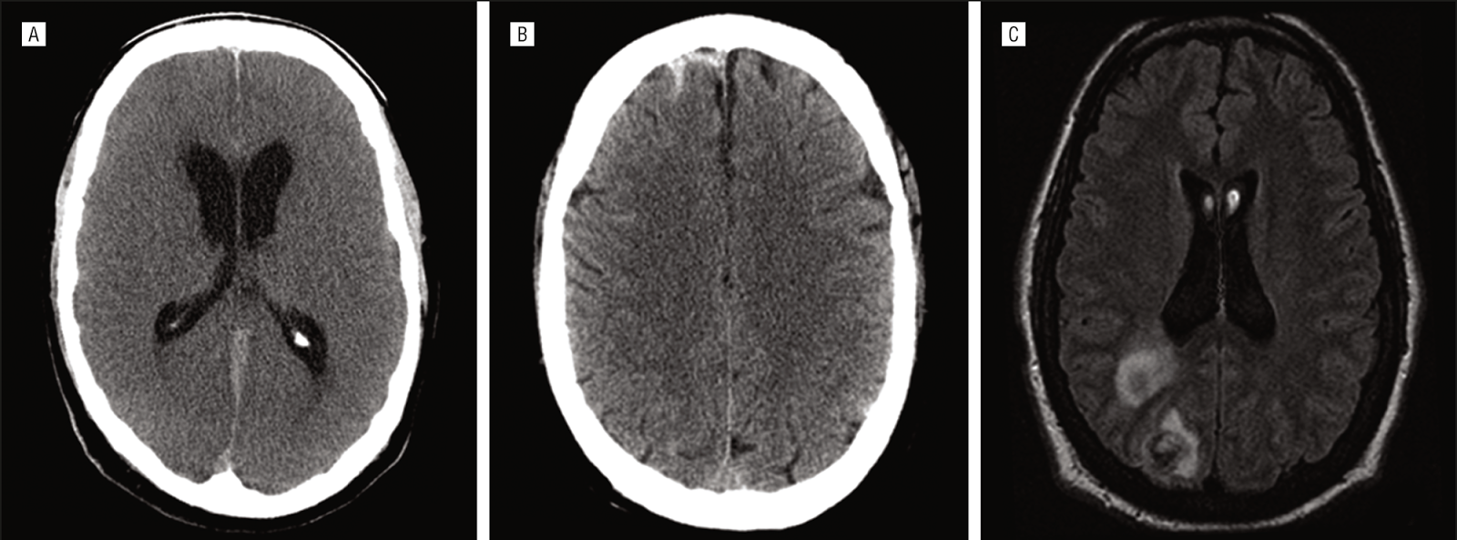
Modified from Fig. 4 (Mateen et al., 2011). Brain scans of adult patients who received extracorporeal membrane oxygenation (ECMO). (A) parafalcine subarachnoid hemorrhage and hydrocephalus on axial-view head CT, (B) diffuse subarachnoid hemorrhage on T1-weighted MRI, and (C) septic cerebral emboli on axial-view MRI.


Neurological events occurred in at least 50% (n=42) of patients treated with ECMO at one medical center over an 8 year period (Mateen et al., 2011). This is a conservative estimate, because a neurological exam was not performed in 21%, and over 70% did not have neuroimaging. Clinical presentation included new onset of coma and new loss of brainstem reflexes. Diffuse brain injury due to lack of oxygen (anoxia), global brain dysfuction (encephalopathy), subarachnoid hemorrhage (bleeds), and ischemic watershed infarction (stroke) were among the diagnoses. Of the 24 patients with brain scans, the findings were pathologically abnormal in 15 (see examples in figure above).

Autopsy was performed on 10 brains (out of 40 patients who died). Nine of these brains showed gross abnormalities (see examples in figure below).



Modified from Fig. 4 (Mateen et al., 2011). (F) diffuse petechial hemorrhages [tiny red spots], (G) subarachnoid hemorrhage, and (H) massive intraventricular hemorrhage on gross pathological examination.


Brain sections stained for microscopic examination showed abnormalities in areas vulnerability to anoxia, including hippocampal pyramidal cells (the CA1 field) and cerebellar Purkinje cells. The hippocampus is a structure located in the medial temporal lobes that is critical for memory. Even mild hypoxia due to cardiac arrest (30 sec to 7 min until initiation of CPR) can lead to memory impairments. The residual cognitive deficits seen in post-cardiac arrest patients comatose for >24 hours have been well-characterized (Lim et al., 2004).

A group of 12 cardiac arrest survivors (not treated with ECMO) underwent MRI scans and neuropsychological testing (Horstman et al., 2010). Compared to controls, abnormalities in gray matter density were observed in regions important for memory and "drive" (subjectively rated motivation). ECMO is of course meant to preserve functioning of the brain and cardiopulmonary system, but I don't see how that's possible if the patient is "dead" for several hours.

Disclaimer: I am not a medical professional, and this post is not to be taken as medical advice.


Footnote

1 Actually, the definition of brain death is not entirely straightforward, either (Bacigalupo et al., 2007; Laureys, 2005).


References

Hirshberg E, Miller RR 3rd, Morris AH. (2013). Extracorporeal membrane oxygenation in adults with acute respiratory distress syndrome. Curr Opin Crit Care 19:38-43.

Horstmann A, Frisch S, Jentzsch RT, Müller K, Villringer A, & Schroeter ML (2010). Resuscitating the heart but losing the brain: brain atrophy in the aftermath of cardiac arrest. Neurology, 74 (4), 306-12 PMID: 20101036

Lim C, Alexander MP, LaFleche G, Schnyer DM, Verfaellie M. (2004). The neurological and cognitive sequelae of cardiac arrest. Neurology 63:1774-8.

Mateen FJ, Muralidharan R, Shinohara RT, Parisi JE, Schears GJ, & Wijdicks EF (2011). Neurological injury in adults treated with extracorporeal membrane oxygenation. Archives of Neurology, 68 (12), 1543-9. PMID: 21825216

Tsuneyoshi H, Rao V. (2012). The role of extracorporeal membrane oxygenation (ECMO) therapy in acute heart failure. Int Anesthesiol Clin. 50:114-22.

Zangrillo A, Landoni G, Biondi-Zoccai G, Greco M, Greco T, Frati G, Patroniti N, Antonelli M, Pesenti A, Pappalardo F. (2013). A meta-analysis of complications and mortality of extracorporeal membrane oxygenation. Crit Care Resusc. 15:172-8.



photo: Tanya Kozak

Thursday, August 15, 2013

End of Life Gamma Waves: Altered State of Consciousness or Artifactual Brain Activity?

"I had been in labor for my daughter for 16 hours. The labor was difficult and the Dr. approached me and told me it may come down to a choice between the child or myself.  ...  The labor dragged on and on and finally they came in and broke my water. I was rushed into delivery and within minutes my heart had stopped. I remember seeing a beautiful being of light enter the room. She told me I had to return as it was not my time yet. I was sucked back into my body as they restarted my breathing. My daughter began crying the moment I opened my eyes."

-Description of a near-death experience
1

Are you afraid to die? We all are. Fear of pain and suffering, fear of the unknown, fear of eternal damnation (for the religious), fear of nothingness (for the atheist). Fear of the end. The finality of it all.

The existential fear of death is part of the human condition. For a neuroscientist, studying what happens to conscious thought during the brain's own demise is one of the most profound of all questions. Short of conducting ill-advised scifi experiments on your med school classmates, how does one go about studying such a phenomenon? By using an animal model of cardiac arrest.



thanks to Chris Chambers for the video idea


Surge of neurophysiological coherence and connectivity in the dying brain

A popular new study by Borjigin et al. (2013) recorded EEG activity directly from the brains of nine dying rats. This paper was widely reported in mainstream media outlets, and has been nicely covered by bloggers Ed Yong, Mark Stokes, Chris Chambers, and Shelly Fan. What I would like to do here is to more closely examine the conditions surrounding the clinical death of these rats.


Fig. 1A (modified from Borjigin et al., 2013). The time scale is in seconds.The y-axis is in microvolts.


The figure above shows brain waves recorded from six electrodes implanted on the cerebral cortex, along with electrical activity from the muscles (EMG) and heart (EKG). The time period is 80 minutes before and 20 minutes after cardiac arrest (at time zero), which was induced by injection of potassium chloride into the heart. On its own, potassium chloride would cause a very painful death. Along with anesthetic and paralytic agents, potassium chloride is part of the drug sequence used for lethal injection in some U.S. states.

In the present study, the animals were deeply anesthetized using ketamine (a dissociative anesthetic) and xylazine (veterinary sedative/analgesic which affects alpha-2 adrenergic receptors), a commonly used method of anesthesia in rodents. Fig. 1A shows that the animals were anesthetized for 30 min before cardiac arrest. The EEG exhibits fairly constant large amplitude activity during this time, shown spread out for a small interval of time in Fig. 1B below.



Fig. 1B (modified from Borjigin et al., 2013). The time scale is in seconds. CAS =  cardiac arrest state. CAS3 (from 12 sec to 30 sec after cardiac arrest) is the critical time of increased EEG activity.


To briefly summarize, the rats' brains were surprisingly active during the CAS3 period, showing highly coherent neural oscillations in the low gamma frequency band for a 20 sec interval after the heart and lungs stopped working.

Fig. 1C below expands the vertical gray bars in Fig. 1B to show greater detail. Of note is the high amplitude rhythmic oscillations during CAS3. This low gamma activity (35-55 Hz) was strongly coupled to EEG activity in other frequency bands (theta and alpha) -- to an even greater extent than during active waking. The authors viewed this as a state of heightened consciousness, but such speculation is premature.


- click on image for a larger view -


Fig. 1C (modified from Borjigin et al., 2013). CAS = cardiac arrest state.


Why would the authors maintain that a dying brain can generate the neural correlates of heightened conscious processing? Gamma (aka 40 Hz activity) has been viewed as a possible solution to the "binding problem" of how consciousness arises since the late 80s. In the visual system, synchronous gamma might be how the brain combines distributed activity conveying separate aspects of a stimulus (e.g., its color, shape, and form) into a unified percept. Furthermore, gamma might account for phenomenal awareness and consciousness, according to some. However, more recent evidence suggests that gamma band responses do not reflect conscious experience.

In addition, it is not at all clear how highly synchronized low gamma can index "heightened conscious processing" in deeply anesthetized dying rats. Do the rats transition from ketamine/xylazine anesthesia (associated with altered thalamocortical connectivity) to a hyperaware internal state of....?  Of what?  The CAS3 activity is so abnormal that it might be artifactual or epiphenomenal, "a tale told by an idiot, full of sound and fury, signifying nothing" (Shakespeare, 1606).

Near-death experience (NDE) researcher Sam Parnia believes the low gamma activity could be caused by a massive influx of calcium, as he stated in Ed Yong's fine piece:
...Parnia says that there could be other explanations for the results. “After blood flow to the brain is stopped, there is an influx of calcium inside brain cells that eventually leads to cell damage and death,” he says. “That would lead to measurable electroencephalography (EEG) activity, which could be what is being measured.” This would explain why Borjigin saw the same pattern in every dying rat, while only 20 percent of people experience NDEs after a heart attack.

Ketamine administration itself is associated with an increase in gamma activity in cortical and subcortical structures. And most importantly, ketamine-altered states of consciousness have been used as a model of NDEs (Jansen, 1997). Although Borjigin et al. note differences in the specific oscillatory couplings seen during ketamine/xylazine anesthesia and cardiac arrest state #3, extrapolation of their findings to NDEs in humans “is extremely premature and unsupported by evidence” (Parnia, quoted in Yong).2

Despite these limitations, the results provide a fascinating beginning to a line of research exploring consciousness at the end of life. Obviously, the use of a rat model precludes any recounting of NDEs by those who might be brought back from the brink in the future. Although the precise neurobiological mechanisms are largely unknown, NDEs do have a scientific explanation (Mobbs & Watt, 2011).3

The truth is out there... Enjoy life while you can.


Footnotes

1 According to the scientific view promoted here, There is nothing paranormal about near-death experiences: how neuroscience can explain seeing bright lights, meeting the dead, or being convinced you are one of them:
Contrary to popular belief, research suggests that there is nothing paranormal about these experiences. Instead, near-death experiences are the manifestation of normal brain function gone awry, during a traumatic, and sometimes harmless, event.

2 Other views held by Dr. Parnia are a bit odd:
"It seems that when consciousness shuts down in death, psyche, or soul – by which I don't mean ghosts, I mean your individual self – persists for a least those hours before you are resuscitated. From which we might justifiably begin to conclude that the brain is acting as an intermediary to manifest your idea of soul or self but it may not be the source or originator of it… I think that the evidence is beginning to suggest that we should keep open our minds to the possibility that memory, while obviously a scientific entity of some kind – I'm not saying it is magic or anything like that – is not neuronal."

3 And they can be mimicked in ways that do not involve cardiac arrest.


References

Borjigin J, Lee U, Liu T, Pal D, Huff S, Klarr D, Sloboda J, Hernandez J, Wang MM, & Mashour GA (2013). Surge of neurophysiological coherence and connectivity in the dying brain. Proceedings of the National Academy of Sciences of the United States of America PMID: 23940340

Jansen KLR (1997). The Ketamine Model of the Near-Death Experience: A Central Role for the N-Methyl-D-Aspartate ReceptorJournal of Near-Death Studies 16: 5-26.

Mobbs D, Watt C. (2011). There is nothing paranormal about near-death experiences: how neuroscience can explain seeing bright lights, meeting the dead, or being convinced you are one of them. Trends Cogn Sci. 15:447-9.



For Andrew (June 4 1968- Aug 15 2013)
RIP